Je suis chercheur en neurosciences cognitives utilisant actuellement des techniques de neuroimagerie chez des animaux de ferme pour étudier : 1) l’influence de l’environnement précoce sur le développement comportemental et neurobiologique et 2) la perception sociale et ses mechanismes neuronaux sous jacent.
Depuis novembre 2017, je suis Chargé de Recherche à l’Unité Mixte de Recherche PRC (Physiologie de la Reproduction et des Comportements) à Nouzilly, France.
Consultez également le réseau Cognition Animal et Bien-être en Élevage que je contribue à animer.
PhD in Psychology, 2011
University of Glasgow, UK
M.Sc. Research Methods of Psychological Science, 2007
University of Glasgow, UK
MA Social Sciences - Psychology & Philosophy, 2006
University of Glasgow, UK

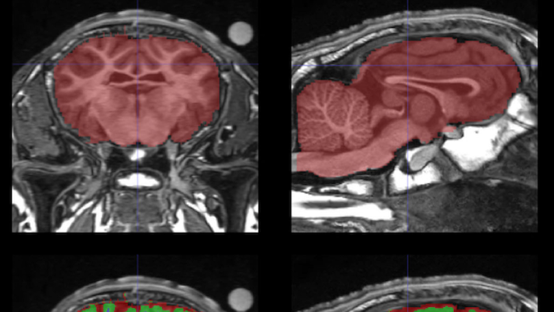
Magnetic resonance imaging (MRI) is a non-invasive technique that requires the participant to be completely motionless. To date, MRI in awake and unrestrained animals has only been achieved with humans and dogs. For other species, alternative techniques such as anesthesia, restraint and/or sedation have been necessary. Anatomical and functional MRI studies with sheep have only been conducted under general anesthesia. This ensures the absence of movement and allows relatively long MRI experiments but it removes the non-invasive nature of the MRI technique (i.e., IV injections, intubation). Anesthesia can also be detrimental to health, disrupt neurovascular coupling, and does not permit the study of higher-level cognition. Here, we present a proof-of-concept that sheep can be trained to perform a series of tasks, enabling them to voluntarily participate in MRI sessions without anesthesia or restraint. We describe a step-by-step training protocol based on positive reinforcement (food and praise) that could be used as a basis for future neuroimaging research in sheep. This protocol details the two successive phases required for sheep to successfully achieve MRI acquisitions of their brain. By providing structural brain MRI images from six out of ten sheep, we demonstrate the feasibility of our training protocol. This innovative training protocol paves the way for the possibility of conducting animal welfare-friendly functional MRI studies with sheep to investigate ovine cognition.

If you have ever been out to the countryside in the spring, you might have heard sheep bleating to their lambs. Sheep also bleat when they are separated from the flock or stressed in some other way. To us, all these bleats sound very similar. But do you think they also sound similar to the lambs? Or do you think the lambs know whose mother is calling and what they are saying? Scientists try to interpret the bleats of sheep by observing their behavior when they hear these sounds. They study the sound waves of recorded bleats to identify each sheep’s unique voice and even determine which emotions the sheep are feeling. They also investigate the brain to find out what is going on inside the heads of sheep when they hear and understand the sounds of other sheep. Studies show that sheep really can recognize each other’s voices and communicate vocally.

The psychoendocrine evaluation of lamb development has demonstrated that maternal deprivation and milk replacement alters health, behavior, and endocrine profiles. While lambs are able to discriminate familiar and non-familiar conspecifics (mother or lamb), only lambs reared with their mother develop such clear social discrimination or preference. Lambs reared without mother display no preference for a specific lamb from its own group. Differences in exploratory and emotional behaviors between mother-reared and mother-deprived lambs have also been reported. As these behavioural abilities are supported by the brain, we hypothesize that rearing with maternal deprivation and milk replacement leads to altered brain development and maturation. To test this hypothesis, we examined brain morphometric and microstructural variables extracted from in vivo T1-weighted and diffusion-weighted magnetic resonance images acquired longitudinally (1 week, 1.5 months, and 4.5 months of age) in mother-reared and mother-deprived lambs. From the morphometric variables the caudate nuclei volume was found to be smaller for mother-deprived than for mother-reared lambs. T1-weighted signal intensity and radial diffusivity were higher for mother-deprived than for mother-reared lambs in both the white and gray matters. The fractional anisotropy of the white matter was lower for mother-deprived than for mother-reared lambs. Based on these morphometric and microstructural characteristics we conclude that maternal deprivation delays and affects lamb brain growth and maturation.
See this poster on Figshare for some more details.